0 - Yorum Yap
Sigma-Aldrich S7101 ApopTag Plus Peroxidase In Situ Apoptosis Kit 40 Assays
Marka
Stok Kodu
LB.SA.S7101
Kısa Bilgi
Synonym(s): In Situ Apoptosis Detection Kit UNSPSC Code: 12161503 eCl@ss: 32161000 NACRES: NA.84
| Sigma-Aldrich S7101 ApopTag Plus Peroxidase In Situ Apoptosis Kit 40 Assays |
|
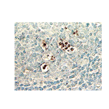
The ApopTag Plus Peroxidase In Situ Apoptosis Detection Kit detects apoptotic cells by labeling & detecting DNA strand breaks by the indirect TUNEL method.
Synonym(s): In Situ Apoptosis Detection Kit UNSPSC Code: 12161503 eCl@ss: 32161000 NACRES: NA.84 |

|
PROPERTIES
Quality Level 100
manufacturer/tradename ApopTag, Chemicon®
detection method colorimetric
shipped in dry ice
|
Bu ürüne ilk yorumu siz yapın!